Orthodontics Disorders
Crossbite
Crossbite can occur in the front and/or the sides of the mouth. One or more upper teeth bite on the inside of the lower teeth. This can occur with a single tooth or multiple teeth. Early correction of crossbite is recommended.
Crossbite should be corrected because it can:
- cause premature wear of the teeth
- cause gum disease including bone loss
- cause asymmetrical development of the jaws
- cause dysfunctional chewing patterns
- make your smile less attractive
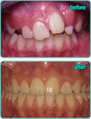
This is what a crossbite looks like:
How can a crossbite be
If there is a single tooth crossbite, the tooth can be moved with braces into the correct position. In some cases, a retainer can be utilized. With multiple teeth in crossbite, the arch needs to be expanded with braces or other intra-oral appliances.
Back to the Top
Openbite
Openbite is an insufficient vertical overlap of the teeth. It is caused by oral habits such as tongue thrust, digit sucking or when the jaws don't grow evenly. Timing of treatment is
This is what an openbite looks like:
How can an openbite be orthodontically corrected?
Openbite can be corrected through growth modification of the jaws using braces, extrusion of the front and anterior teeth and in some cases surgical correction of the jaws. Also breaking oral habits, such as digit sucking, will facilitate the correction of an openbite.
Back to the Top
Overbite or Deep Bite
Class II Overbite
Overbite occurs when the upper front teeth protrude over the lower front teeth. Generally there is no contact between the upper and lower front teeth. Often you cannot see the lower incisors. Overbite is due to a disproportionate amount of eruption of front teeth or over development of the bone that supports the teeth and a front to back discrepancy in the growth of the upper or lower jaw (Class II Relationship). Overbite is also known as a deep bite.
Overbite should be corrected because it can:
- cause improper functioning of your front teeth
- result in the lower front teeth biting into the gum tissue of the upper palate leading to tissue problems
- unusual wear of the lower front teeth
- cause jaw or joint problems
- make your smile less attractive
This is what an overbite looks like:
How can an overbite be orthodontically corrected?
Overbite can be corrected through moving the front teeth up and/or bringing the back teeth together, which will "open" the bite so the teeth are properly aligned and the deep bite is eliminated.
Back to the Top
Overjet or Protrusion
Class II Overjet
Overjet is also known as protrusion. In this case, the lower teeth are too far behind the upper front teeth. This can be caused by an improper alignment of the molars (Class II Relationship), a skeletal imbalance of the upper and lower jaw; flared upper incisors, missing lower teeth or a combination of all the above. In addition, oral habits such as thumb sucking, finger sucking or tongue thrusting can exacerbate the condition.
Overjet should be corrected because it can:
- prevent proper functioning of the front teeth
- lead to premature wear
- make your smile less attractive
This is what an overjet looks like:
How can overjet be orthodontically
Overjet can be corrected through growth modification using a functional appliance and/or elastics to reduce the skeletal imbalance or extraction of teeth.
Back to the Top
Underbite
Class III Underbite
The lower teeth protrude past the front teeth. An underbite is usually caused by undergrowth of the upper jaw, overgrowth of the lower jaw, or a combination of the two (Class III Relationship). Underbite can also be caused by flared upper incisors, missing lower teeth or a combination of all the above. Early correction of underbite is recommended.
Underbite should be corrected because it can:
- prevent proper functioning of the front teeth or molars which can lead to premature wear of the teeth
- cause chewing or eating problems
- cause jaw or joint problems
- make your smile less attractive
This is what an underbite looks like:
How can an underbite be
Underbite can be corrected through growth modification of the jaws, extraction of teeth and in some cases, surgical correction of the jaws.
Back to the Top
Impacted Teeth
Impactions can be caused by improper positioning of the developing tooth bud. This can cause the tooth to fail to erupt into the mouth. Impactions can also be caused by early loss of primary teeth or crowding of teeth. Wisdom teeth are the most commonly impacted teeth. Canines and premolars can also be impacted.

This problem should be corrected because it can:
- cause damage to the root structure of adjacent teeth
- interfere with the sinus cavity
- leave unwanted spaces
- lead to improper functioning of the teeth
- cause premature wear of the teeth
- case asymmetric alignment of the teeth
This is what an impacted tooth looks like:
How can impacted teeth be
Usually the impacted tooth is exposed over the course of a few months and brought into the correct position of the mouth. Correction of impacted teeth may involve a minor surgical procedure performed by an oral surgeon working closely with our practice. This will allow us to then guide eruption of the impacted tooth into proper position.
Back to the Top
Missing Teeth
Missing teeth is the absence of a tooth or teeth that should normally be present. This can be caused by trauma or lack of development.
This problem should be corrected because it can:
- cause improper functioning of teeth
- cause premature wear of teeth
- cause asymmetric alignment of the teeth
- make your smile less attractive
This is what misssing teeth looks like:
How can missing teeth be
Depending upon the situation, the space can be closed with braces or opened for tooth replacement. A bridge or dental implant are restorative options if a space is created.
Back to the Top
Crowding of the Teeth
Crowding is the lack of space for all the teeth to fit normally within the jaws. The teeth may be twisted or displaced. Crowding occurs when there is disharmony in the tooth to jaw size relationship or when the teeth are larger than the available space. Crowding can be caused by improper eruption of teeth and early or late loss of primary teeth.
Crowding should be corrected because it can:
- prevent proper cleaning of all the surfaces of your teeth
- cause dental decay
- increase the chances of gum disease
- prevent proper functioning of teeth
- make your smile less attractive
This is what crowding looks like:
How can crowding be orthodontically
Extra space can be created by expansion of the arches or extraction of teeth. Once space is created, braces will eliminate crowding and align the teeth. Correction of crowding can help prevent dental decay and periodontal disease by improving the ability to remove plaque from the teeth.
Back to the Top
Spacing of the Teeth
Spacing (the opposite of crowding), is an excess of space for your teeth which results in gaps between your teeth. This generally occurs when the teeth are smaller than the available space. Spacing can also be caused by protrusive teeth, missing teeth, impacted teeth or abnormal tissue attachments to the gums.
Spacing should be corrected because it can:
- result in gum problems due to the lack of protection by the teeth
- prevent proper functioning of the teeth
- make your smile less attractive
This is what spacing looks like: